شکستگی گونه، یکی از آسیبهای شایع در ناحیه صورت است که میتواند ناشی از حوادث مختلفی مانند تصادفات، سقوط یا ورزشهای مختلف باشد. این نوع شکستگی به دلیل موقعیت استخوان گونه در صورت، به ساختار ظاهری آسیب میزند و عوارضی برای عملکردهای مختلف مانند تنفس، خوردن و صحبت کردن ایجاد میکند. در این مطلب، به بررسی کامل شکستگی گونه، روشهای درمانی و نکات مراقبتی پس از جراحی، گریزی خواهیم زد.

شکستگی گونه
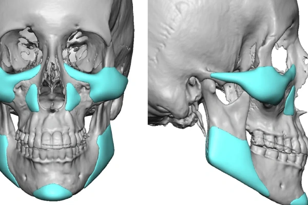
شکستگی گونه به عنوان آسیب در استخوانهای مالار یا زیگوماتیک شناخته میشود. این استخوانها نقش حیاتی در ساختار صورت ایفا میکنند و ضربه به این نواحی میتواند عوارض جدی به همراه داشته باشد.
این نوع آسیبها میتوانند باعث بروز علائمی مانند درد شدید، تورم، کبودی و تغییر در شکل ظاهری صورت شوند. شکستگیهای مربوط به گونه به دو دسته تقسیم میشوند که عبارتند از:
آسیبهای استخوانی صورت، از جمله شکستگیهای گونه، از جمله مواردی هستند که میتوانند با علائم ناخوشایندی همچون درد طاقتفرسا، تورم قابل توجه، کبودیهای وسیع و تغییرات آشکار در ساختار و تقارن چهره نمایان شوند.
این نوع صدمات، که اغلب در اثر ضربههای مستقیم، تصادفات یا آسیبهای ورزشی رخ میدهند، نیازمند تشخیص دقیق و درمان مناسب هستند تا از عوارض جانبی احتمالی جلوگیری شود و عملکرد و زیبایی صورت به حالت اولیه بازگردد.
در بررسی تخصصی شکستگیهای مربوط به استخوان گونه، متخصصین این آسیبها را بر اساس میزان جابجایی قطعات شکسته شده به دو گروه عمده تقسیم میکنند: شکستگیهای با جابجایی، که در آنها قطعات استخوان از محل اصلی خود حرکت کردهاند و نیاز به مداخله برای بازگرداندن آنها به وضعیت صحیح وجود دارد؛ و شکستگیهای بدون جابجایی، که در آنها استخوان شکسته اما قطعات در موقعیت آناتومیک خود باقی ماندهاند و ممکن است درمان آنها محافظهکارانهتر باشد.
درک این تقسیمبندی اولیه، گامی اساسی در شناخت ماهیت آسیب و تعیین رویکرد درمانی مناسب برای هر بیمار محسوب میشود.
شکستگی استخوان گونه
شکستگی استخوان گونه در برخی موارد، ممکن است به عوارض جبرانناپذیری منجر شود. بیمارانی که این نوع شکستگی را تجربه میکنند، اغلب با علائمی نظیر درد شدید و محدودیت در حرکات صورت مواجه میشوند. در برخی موارد، ممکن است آسیب به اعصاب و عروق خونی در ناحیه صورت نیز رخ دهد که با بیحسی یا گزگز در نواحی اطراف همراه است.
تشخیص دقیق این نوع شکستگیها نیازمند انجام سی تی اسکن یا عکسبرداری رادیولوژیک است. این روشها به پزشک کمک میکنند تا نوع و شدت شکستگی را به درستی تعیین کند و برنامه درمانی مناسبی را تدوین نماید.

درمان شکستگی استخوان
درمان شکستگی استخوان گونه به شدت و نوع آسیب بستگی دارد. در موارد خفیف، درمان غیرجراحی کفایت میکند. این درمان شامل استفاده از کمپرس سرد برای کاهش تورم و تجویز مسکن برای کنترل درد است.
همچنین، پزشک ممکن است برای جلوگیری از عفونت، آنتی بیوتیک تجویز کند. در برخی موارد، استفاده از داروهای ضدالتهابی نیز توصیه میشود تا التهاب و ورم در ناحیه آسیب دیده کاهش یابد.
- نوبت دهی
برای دریافت نوبت جهت ملاقات با دکتر مجتبی صالحی، متخصص جراحی فک و صورت، لطفا فرم زیر را تکمیل و ارسال فرمایید.
ساعات کاری
- مطب پاسدارن : روز های فرد 16:00-20:00
شماره تماس مطب پاسدارن:
22791600 -021
آدرس مطب پاسداران
پاسداران بهستان پنجم پلاک ۲ طبقه پنجم واحد ۱۹
در صورت تشخیص شکستگی با جابجایی، جراحی ضروری خواهد بود. این جراحی برای افرادی که در معرض خطر عوارض جدیتری هستند، از اهمیت بالایی برخوردار است.
جراحی شکستگی گونه
جراحی شکستگی گونه تحت بیهوشی عمومی انجام میشود و فرآیند آن بسته به شدت آسیب و نوع شکستگی ممکن است ۲۰ دقیقه تا چند ساعت طول بکشد. جراح متخصص با استفاده از تکنیکهای پیشرفته، استخوانهای شکسته را جااندازی کرده و آنها را با استفاده از پلیت و پیچ در محل مناسب تثبیت میکند.
در برخی موارد، برای جااندازی بهتر استخوانها، ممکن است برشهای کوچکی در نواحی زیر ابرو یا زیر پلک ایجاد شود. این برشها به گونهای انجام میشوند که جای زخم آنها به حداقل برسد و پس از بهبودی، به سختی قابل مشاهده خواهد بود.
درمان شکستگی گونه
درمان شکستگی گونه شامل مراحل مختلفی است که بسته به نیاز بیمار متفاوت خواهد بود. پس از جراحی، بیمار باید تحت مراقبتهای ویژهای قرار گیرد تا از عوارض احتمالی جلوگیری شود.
این مراقبتها شامل استفاده از داروهای تجویز شده، اجتناب از فعالیتهای سنگین و رعایت بهداشت دهان و دندان میباشد. همچنین، پرهیز از دخانیات و الکل میتواند به تسریع روند بهبودی کمک کند.
یکی از نکات مهم در مراقبتهای پس از جراحی، توجه به رژیم غذایی است. مصرف مواد غذایی غنی از پروتئین و ویتامینها باعث بهبودی سریعتر خواهد شد. همچنین، استفاده از مایعات کافی برای جلوگیری از کم آبی بدن ضروری است.
شکستگی گونه زیر چشم
شکستگی گونه زیر چشم، یکی از آسیبهای جدی است که بعضا با عوارض بینایی جدی همراه است. در این نوع شکستگی، احتمال دارد که بیمار دچار دو بینی یا کاهش دید شود.
این عوارض به دلیل آسیب به نواحی اطراف چشم و استخوانهای متصل به آن ایجاد میشوند. تشخیص و درمان سریع این نوع شکستگی برای جلوگیری از عوارض دائمی ضروری خواهد بود. بیمارانی که دچار شکستگی زیر چشم میشوند، باید به دقت تحت نظر پزشک قرار گیرند تا از بروز مشکلات بینایی جلوگیری شود.
شکستگی گونه صورت
شکستگی گونه صورت ممکن است تأثیرات عمیقی بر زیبایی و عملکردهای صورت داشته باشد. این نوع شکستگی میتواند باعث تغییر در شکل صورت، کاهش برجستگی گونه و حتی متزلزل شدن دندانهای فوقانی شود.
به همین دلیل، اهمیت تشخیص و درمان به موقع در این نوع شکستگیها به شدت احساس میشود. جراحیهای زیبایی ممکن است برای بازگرداندن شکل طبیعی صورت لازم باشند.
بیماران باید توجه داشته باشند که عوارض زیبایی ناشی از شکستگی گونه میتواند تأثیرات جدی بر کیفیت زندگی آنها داشته باشد. به همین دلیل، مشاوره با بهترین جراح دهان و فک و صورت در تهران میتواند گزینه مناسبی برای ارزیابی و برنامهریزی درمان باشد.
عمل شکستگی گونه
عمل شکستگی گونه یک پروسه دقیق است که نیاز به تخصص و تجربه دارد. این عمل در مراکز تخصصی جراحی فک و صورت انجام میشود و جراح باید با آناتومی دقیق ناحیه آشنا باشد.
پس از عمل، بیمار باید تحت مراقبتهای ویژهای قرار گیرد تا عوارض احتمالی به وجود نیاید و روند بهبودی به درستی طی شود. در طول عمل، جراح به دقت استخوانهای شکسته را جا میزند و از وسایل خاصی برای تثبیت آنها استفاده میکند.
مراقبتهای پس از جراحی
مراقبتهای پس از جراحی شکستگی گونه شامل چندین نکته مهم است. بیمار باید تا دو ماه از خوابیدن بر روی سمت آسیب دیده خودداری کند و از وارد کردن فشار به ناحیه مورد نظر پرهیز نماید. همچنین، استفاده از داروهای تجویز شده برای کنترل درد و جلوگیری از عفونت ضروری است.
اجتناب از فعالیتهای سنگین و مصرف مشروبات الکلی، باعث بهبودی سریعتر خواهد شد. یکی دیگر از نکات مهم، رعایت بهداشت دهان و دندان است تا از بروز عفونتهای احتمالی جلوگیری شود. در این زمینه، مشاوره با دندانپزشک نیز میتواند مفید باشد.

نتیجهگیری
شکستگی گونه یک آسیب شایع در ناحیه صورت است که عمدتا عوارض جدی را به همراه دارد. تشخیص و درمان فوری این نوع شکستگیها از اهمیت بالایی برخوردار است.
دکتر مجتبی صالحی، متخصص جراحی دهان و شکستگی های فک و صورت، با داشتن تجربه و تخصص کافی، میتواند به بیماران در این زمینه کمک کند. با رعایت نکات مراقبتی و مشاوره با پزشک، میتوان به بهبودی سریعتر و بهتر دست یافت.